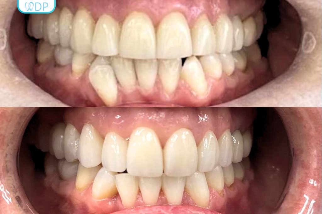
Invisalign: The Ultimate Guide to Straightening Your Smile in Manchester
Are you tired of hiding your smile because of crooked or misaligned teeth? Do you want a straighter smile without the discomfort and visibility of traditional metal braces? At Manchester Dental Practice, we’re proud to offer Invisalign, the clear, comfortable, and convenient way to achieve the smile of your dreams. Whether you’re an adult, a teen, or a professional, Invisalign is the perfect solution for anyone looking to straighten their teeth discreetly and effectively.
In this comprehensive guide, we’ll cover everything you need to know about Invisalign—from how it works to its benefits, costs, and why it’s the #1 choice for teeth straightening in Manchester. Let’s get started!
What is Invisalign?
Invisalign is a modern orthodontic treatment that uses a series of clear, removable aligners to gradually move your teeth into their desired position. These aligners are custom-made using advanced 3D imaging technology, ensuring a perfect fit and predictable results.
Unlike traditional braces, Invisalign aligners are:
- Virtually invisible: No one will notice you’re wearing them.
- Removable: Eat, drink, brush, and floss with ease.
- Comfortable: Smooth, BPA-free plastic with no sharp edges.
- Customized: Designed specifically for your teeth and smile goals
Why Choose Invisalign Over Traditional Braces?
- Discreet Treatment: Invisalign aligners are clear, making them ideal for professionals, teens, and anyone who wants to straighten their teeth without drawing attention.
- Comfortable & Convenient: No wires, brackets, or painful adjustments. Simply switch to a new set of aligners every 1–2 weeks.
- Faster Results: In many cases, Invisalign can achieve results in as little as 6–12 months, depending on the complexity of your case
- No Food Restrictions: Remove your aligners to enjoy your favorite foods and drinks without worrying about damaging your braces.
- Improved Oral Hygiene: Since the aligners are removable, you can brush and floss your teeth as usual, reducing the risk of cavities and gum disease
How Does Invisalign Work?
- Free Consultation: Visit Manchester Dental Practice for a free, no-obligation consultation. We’ll assess your smile and determine if Invisalign is right for you.
- Custom Treatment Plan: Using advanced 3D imaging technology, we’ll create a personalized treatment plan and show you a preview of your future smile.
- Wear Your Aligners: Wear each set of aligners for 20–22 hours a day, changing them every 1–2 weeks as your teeth gradually shift into place.
- Monitor Progress: Visit us every 4 weeks so we can monitor your progress and provide you with new sets of aligners.
- Achieve Your Dream Smile: Complete your treatment with a straighter, healthier, and more confident smile!
FAQs About Invisalign
Q1: How long does Invisalign treatment take?
Ans: Treatment time varies depending on the complexity of your case, but most patients achieve their desired results in 4-12 months.
Q2: Invisalign painful?
Ans: Invisalign is far more comfortable than traditional braces. Some patients experience minor pressure or discomfort when switching to a new set of aligners, but this is temporary and a sign that the treatment is working.
Q3: Can I eat and drink with Invisalign?
Ans: Yes! Simply remove your aligners to eat, drink, and clean your teeth. Just remember to brush your teeth before putting them back in.
Q4: How much does Invisalign cost?
Ans: The cost of Invisalign varies depending on your treatment plan. At Manchester Dental Practice, we offer competitive pricing and flexible payment options to make Invisalign affordable for everyone.
Q5: Is Invisalign suitable for teens?
Ans: Absolutely! Invisalign offers a special Invisalign Teen treatment designed specifically for teenagers, with features like compliance indicators to ensure they’re wearing their aligners as prescribed.
Why Choose Manchester Dental Practice for Invisalign??
- Expert Care: Our experienced dentists are certified Invisalign providers with a proven track record of success.
- Personalized Treatment: We tailor every treatment plan to meet your unique needs and smile goals.
- State-of-the-Art Technology: We use advanced 3D imaging and digital scanning to ensure precise and predictable results.
- Convenient Location: Located at 4 Exchange St, Manchester M2 7HA, we’re easy to reach for patients across Manchester.
- Free Consultation: Start your journey with a free, no-obligation consultation to see if Invisalign is right for you.
Book Your Free Invisalign Consultation Today!
Ready to transform your smile? Contact Manchester Dental Practice today to schedule your free Invisalign consultation. Call us at 0161 8330704 or visit our website to book online.
📍 Address: 4 Exchange St, Manchester M2 7HA
📞 Call Us: 0161 8330704
🌐 Visit Us Online: manchesterdentalpractice.co.uk
