WISDOM TEETH EXTRACTION
Need to have your wisdom tooth removed?
Let us relief you from soreness, inflammation and decay
0% Finance Options Available
At Manchester Dental Practice, we want to preserve and enhance your smile. We have considerable experience of successfully extracting wisdom teeth for a wide variety of, very satisfied, patients.
If you need to remove your wisdom teeth offers you the solution to restoring the natural brilliance of your smile.
One of the most common procedures done in the UK, wisdom teeth removal refers to having one or more of large molars (your wisdom teeth) at the back of your mouth taken out. Sometimes, your wisdom teeth don’t come through properly, causing problems such as soreness, inflammation and decay. Having wisdom teeth taken out can remedy these symptoms.
- Pain relief from constant toothache
- Reduced risk of oral disease
- Live your life with ease
What Are Wisdom Teeth?
The last four of the large molar teeth at the back of your mouth are called “wisdom” teeth.
For most people, they are the last teeth to emerge usually in the mid-twenties. By the time your wisdom teeth come through, there may not be enough space in your mouth for them to grow well. This causes an “impacted” wisdom tooth- where it gets partially stuck in your gums, or grows at an angle.
If an impacted wisdom tooth grows in an unhealthy way, food and bacteria can get trapped around the gum causing soreness, tooth decay and infection.
What Is The Treatment For Wisdom Teeth?
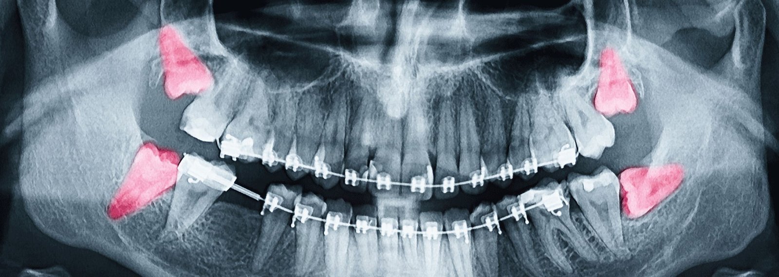
At Manchester Dental Practice, when we remove an impacted wisdom tooth, our highly trained dentists will take an X-ray to assess the tooth’s position in the gum first of all.
They will then decide on the best way to remove the tooth. Usually, this is a simple procedure, which can be carried out under local anaesthetic at the dental practice.
If your tooth would be harder to remove, our dentists may need to refer you to a specialist oral surgeon to carry out the procedure at hospital.
If you’re having problems such as these, we have considerable experience removing impacted wisdom teeth.
When you visit Manchester Dental Practice, you can have the peace of mind of being in the capable hands of a highly professional and dedicated team.
As with every treatment we offer, our award winning clinicians will carefully talk through your options to ensure you can make the best choices about looking and feeling good about your smile.
Request Your Professional Consultation
- £50 - Cosmetic Consultation
- £150 - Periodontist Specialist Consultation
- £120 - Oral Surgeon Consultation
- 0% Finance Options Available
- Personalized Treatment Planning
- Maintain Optimal Oral Health
- Smile and Speak with Confidence
To book your consultation or learn more about our private treatments, please use our online chatbot and we’ll get in touch with you promptly.
Alternatively, you can call or email us:
Info@darkseagreen-cat-559528.hostingersite.com
Emails are replied within 24 to 48 hours
0161 833 0704
Call to schedule your appointment





